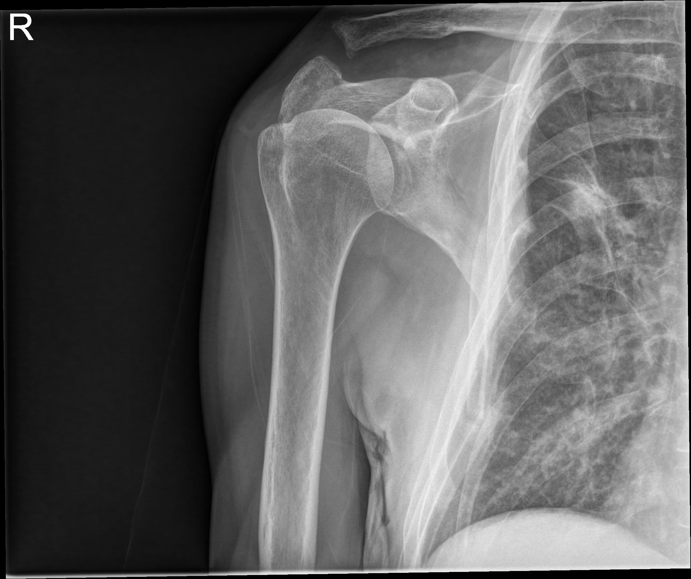
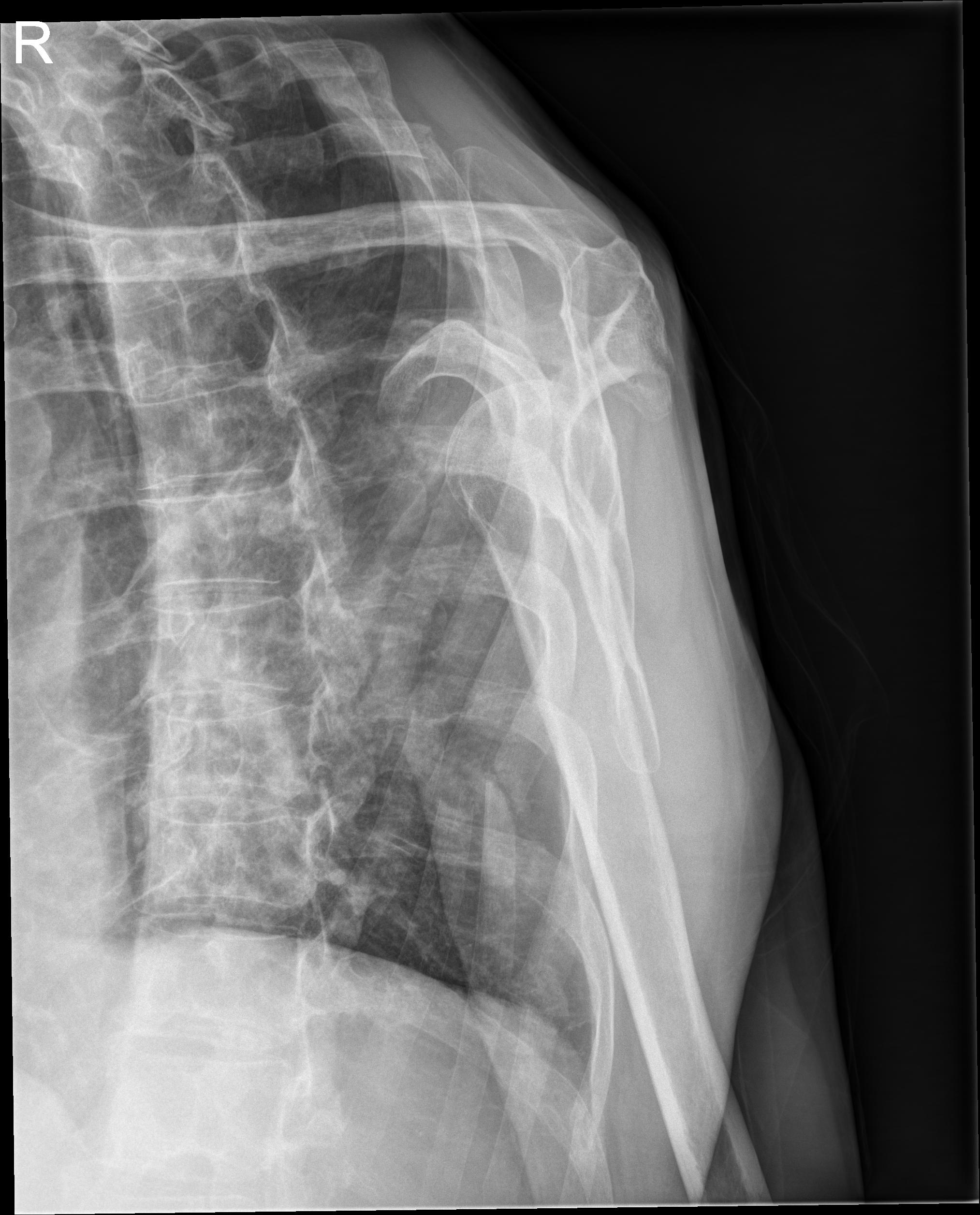
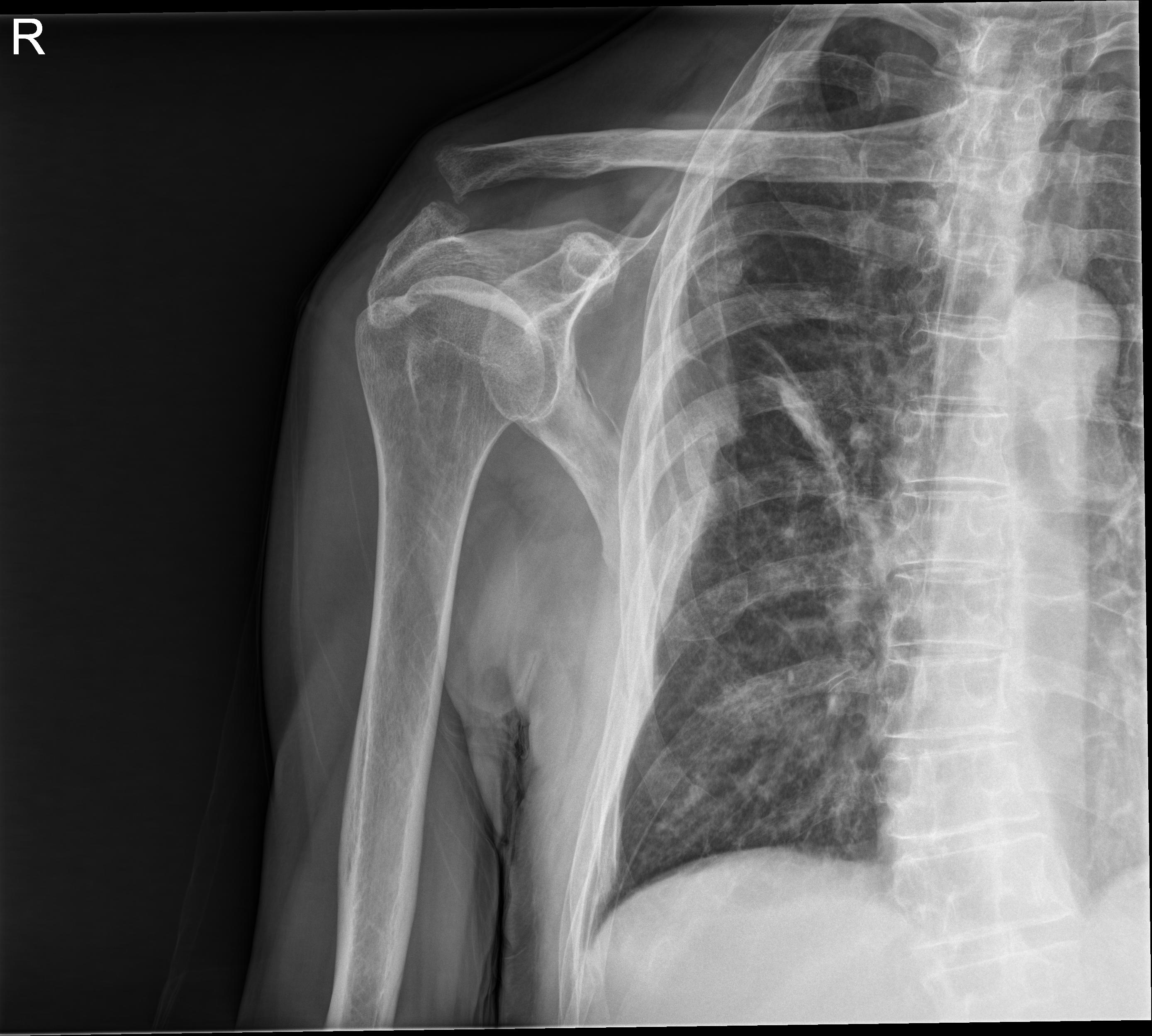
1 Hombro der.