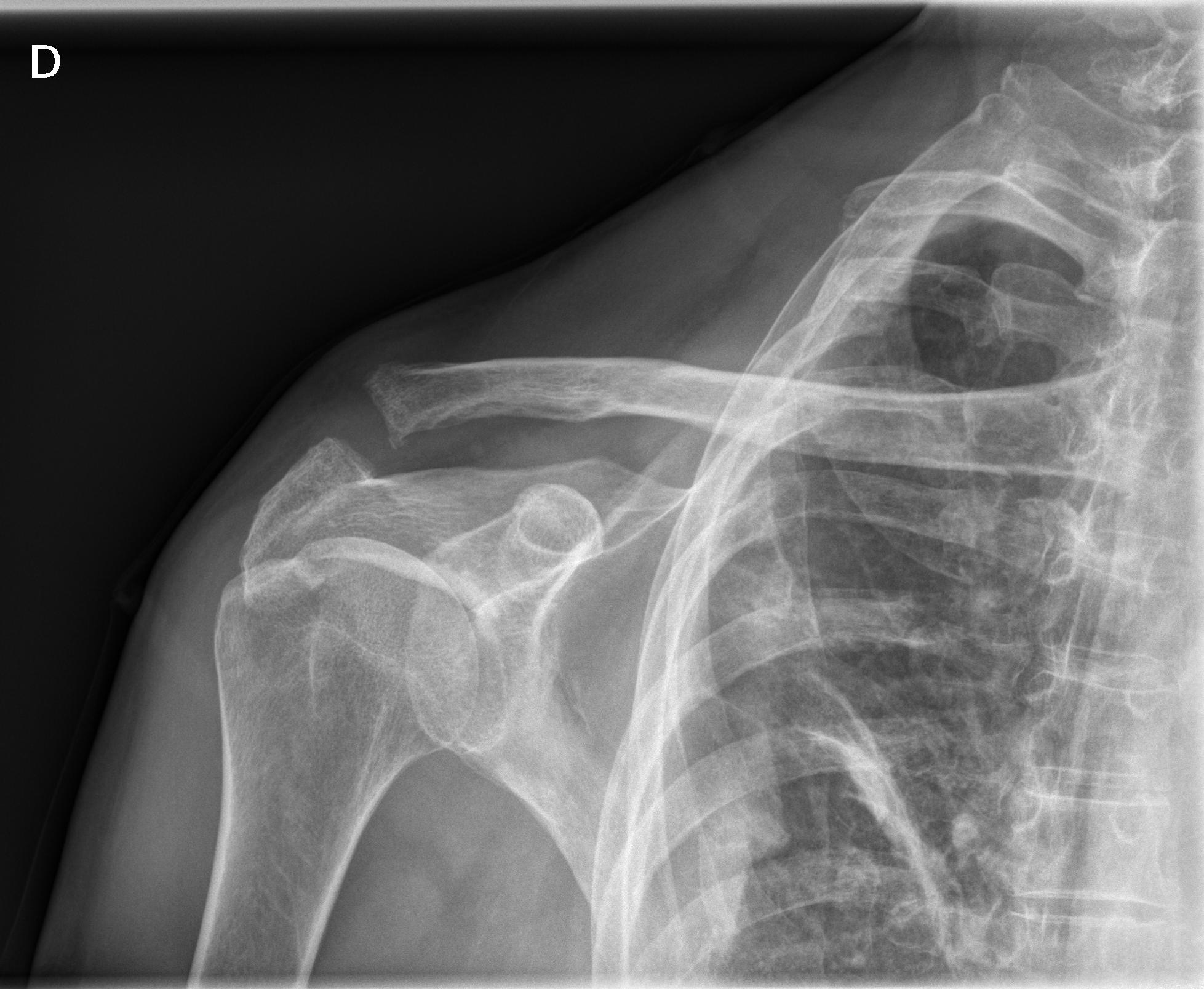
1 Hombro der.