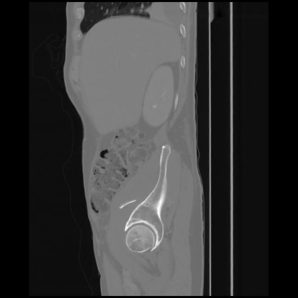
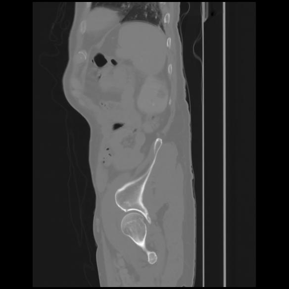
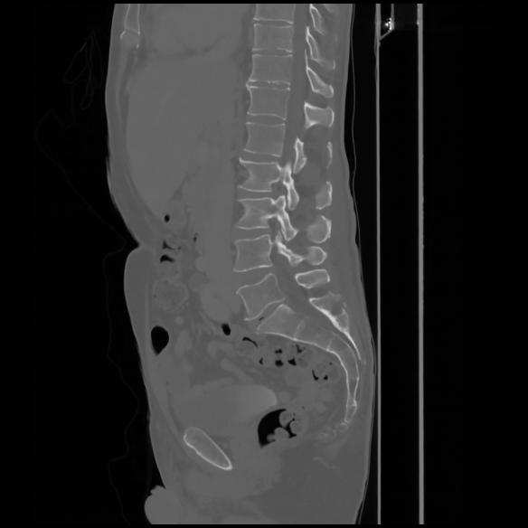
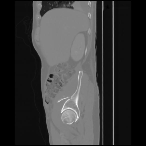
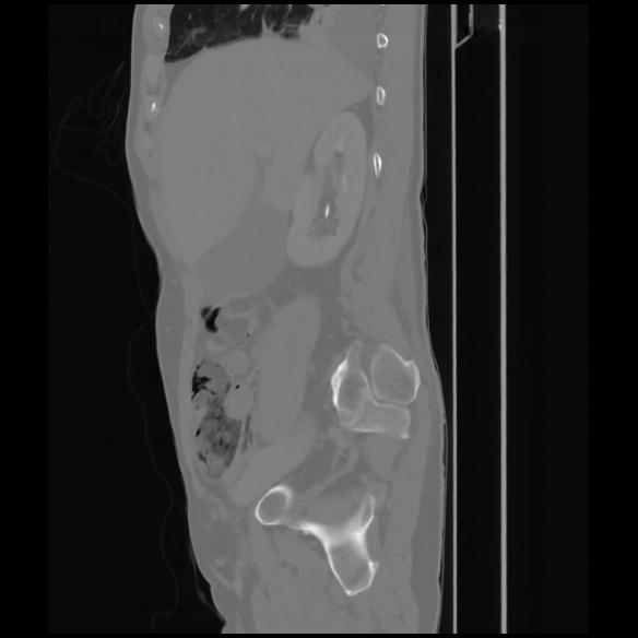
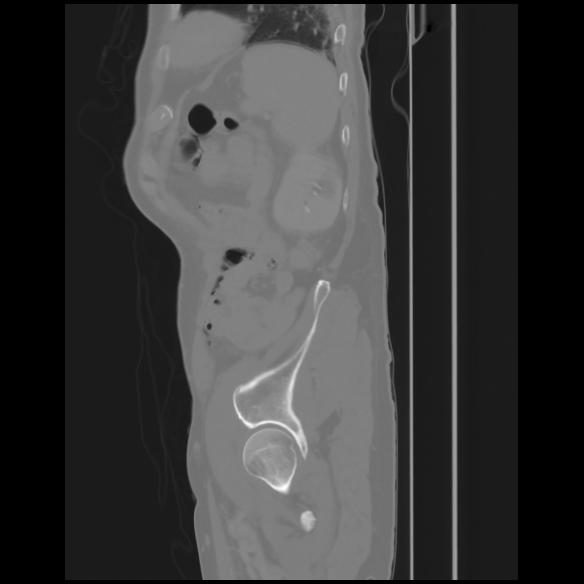
7 CUERPO,CE,Sagittal,3.000,CUERPO,Sagittal,