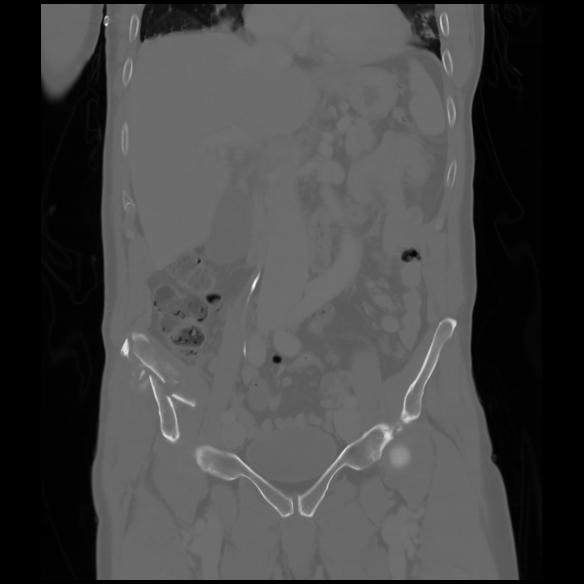
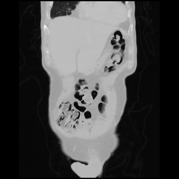
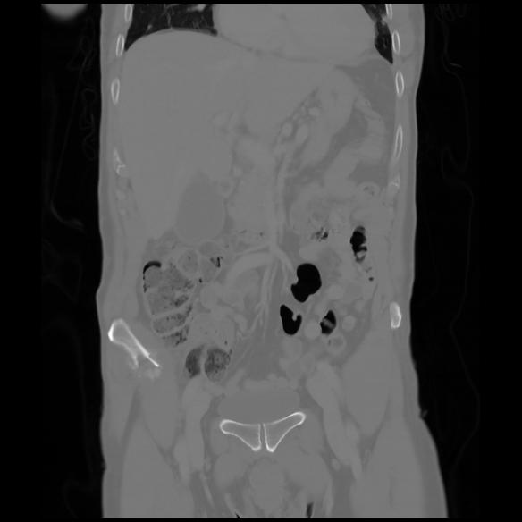
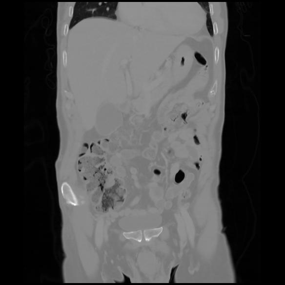
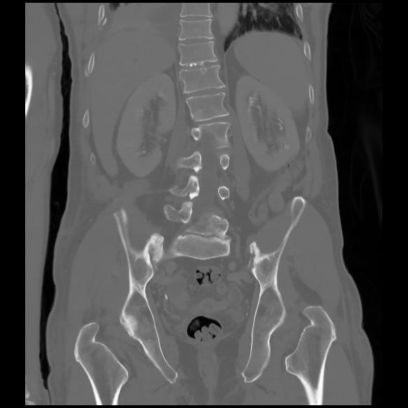
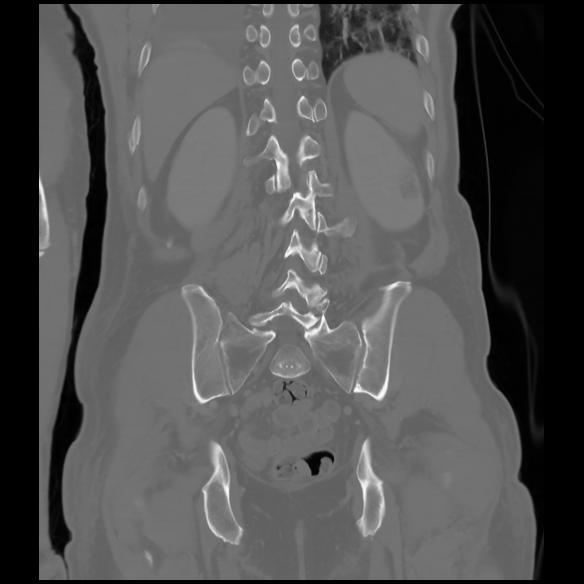
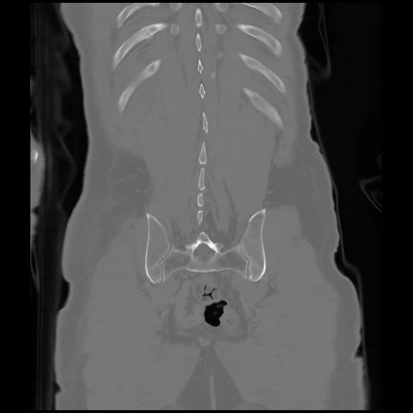
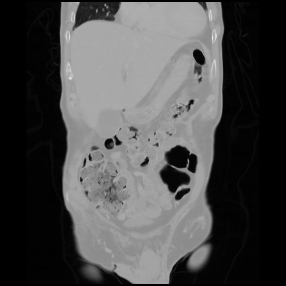
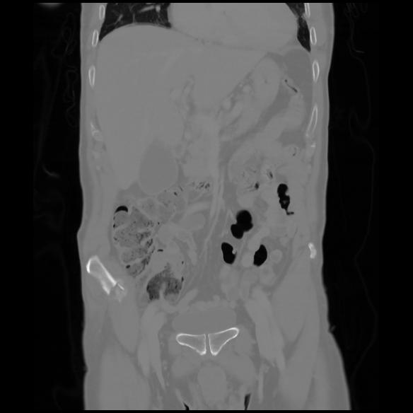
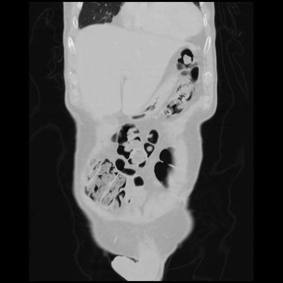
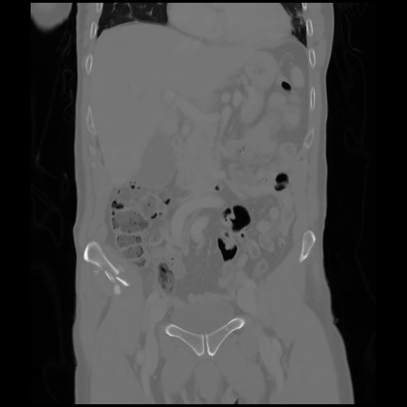
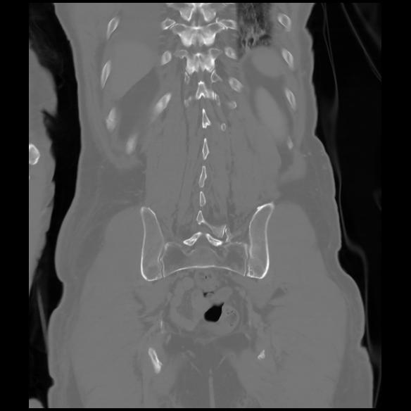
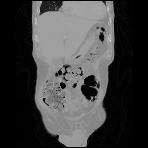
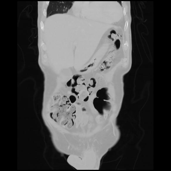
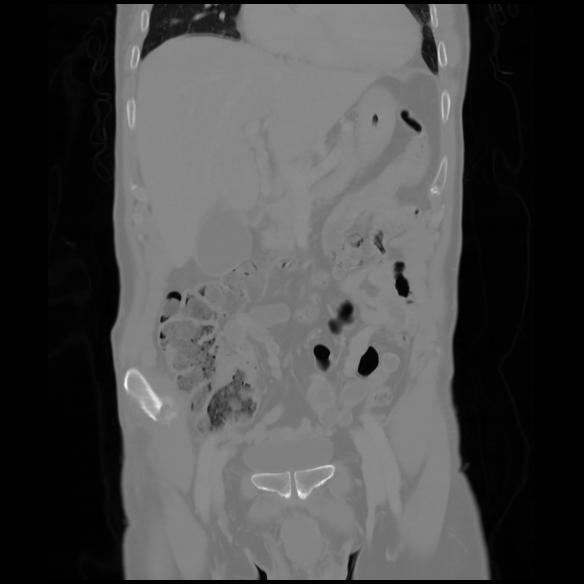
6 CUERPO,CE,Coronal,3.000,CUERPO,Coronal,