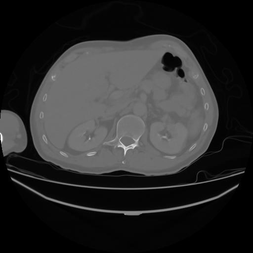
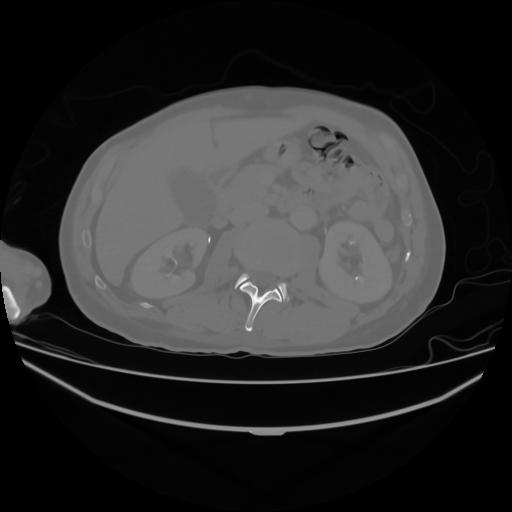
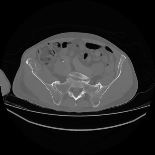
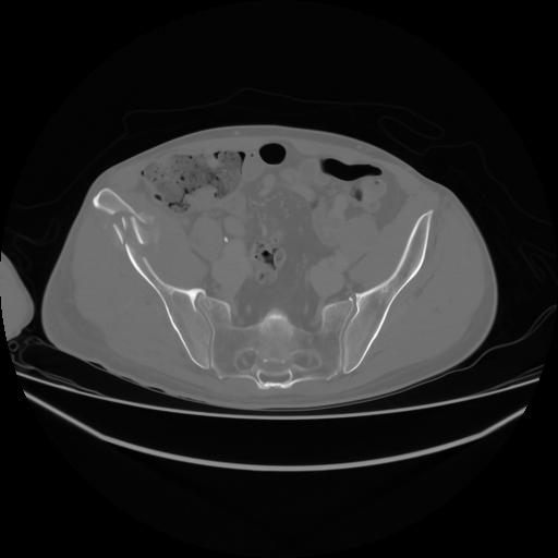
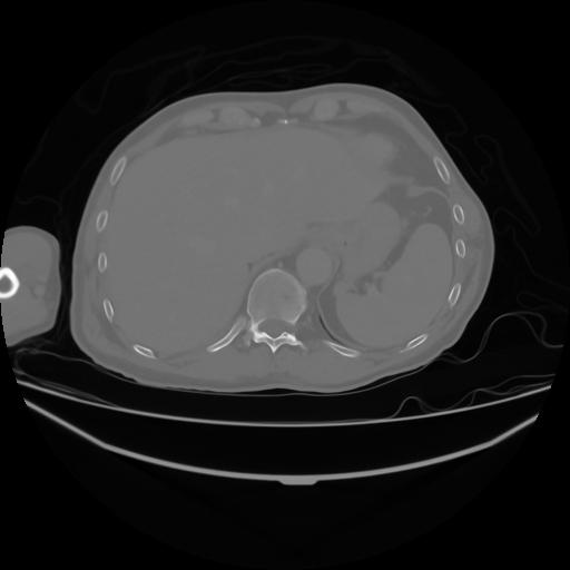
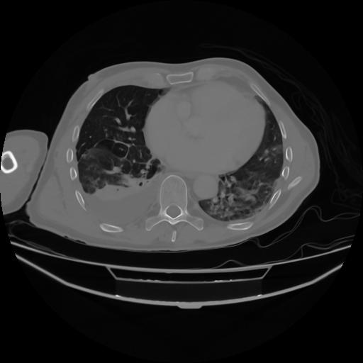
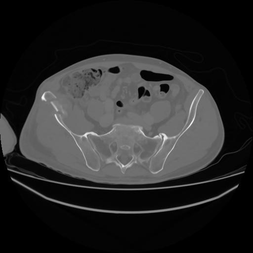
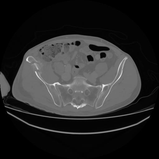
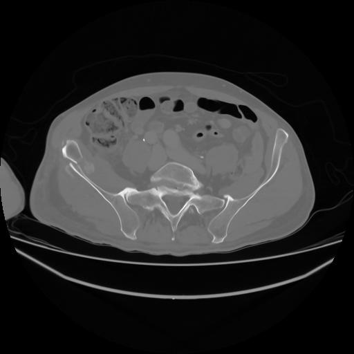
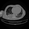
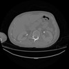
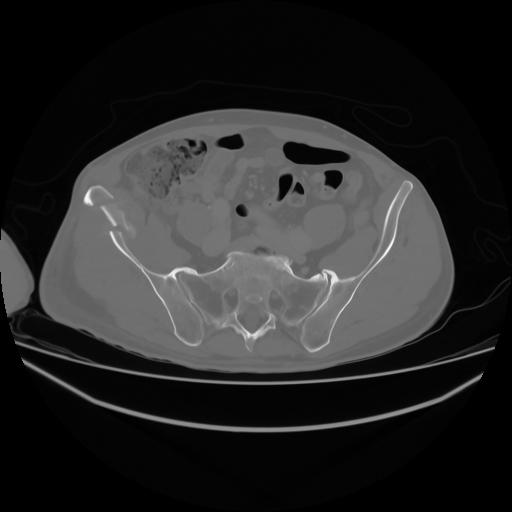
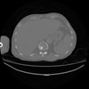
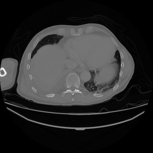
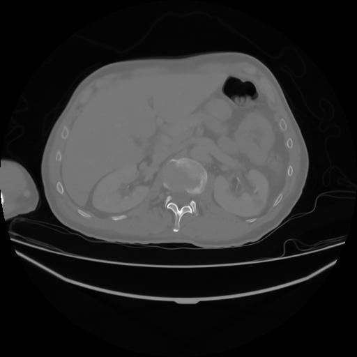
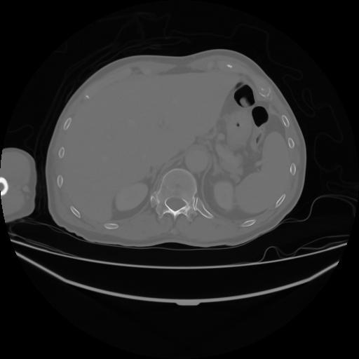
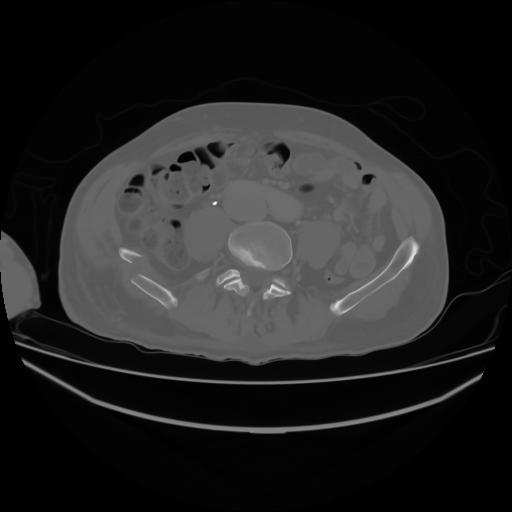
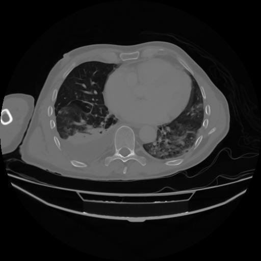
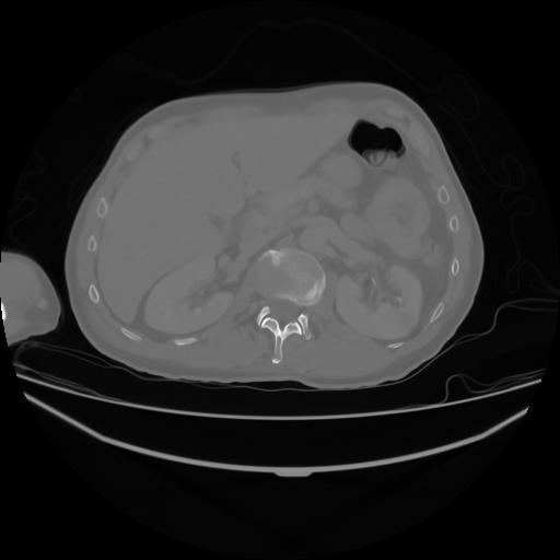
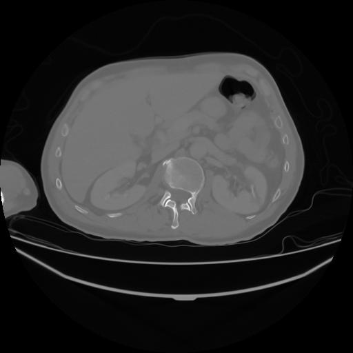
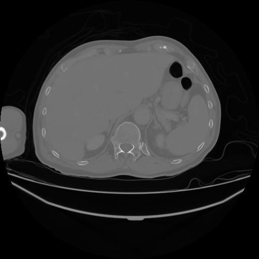
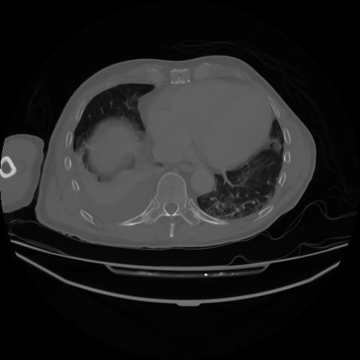
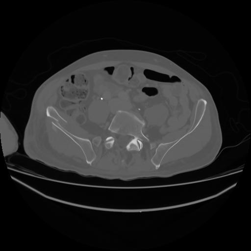
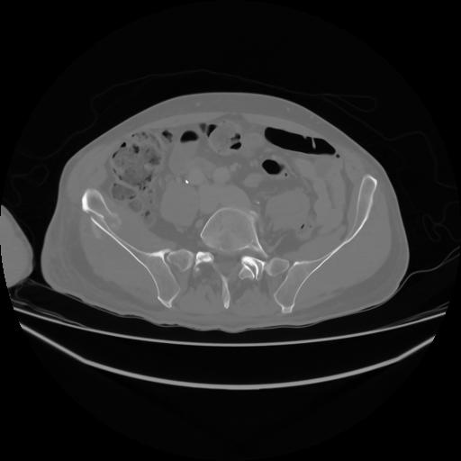
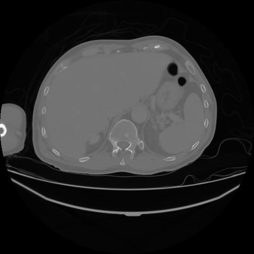
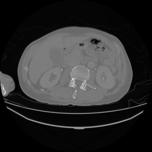
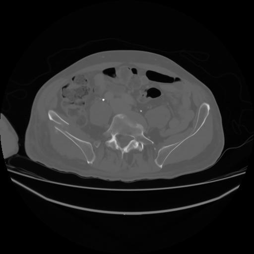
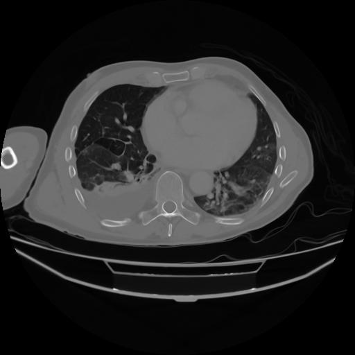
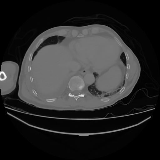
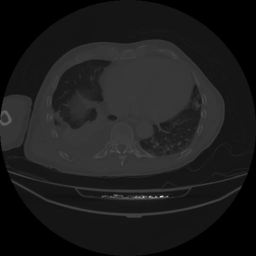
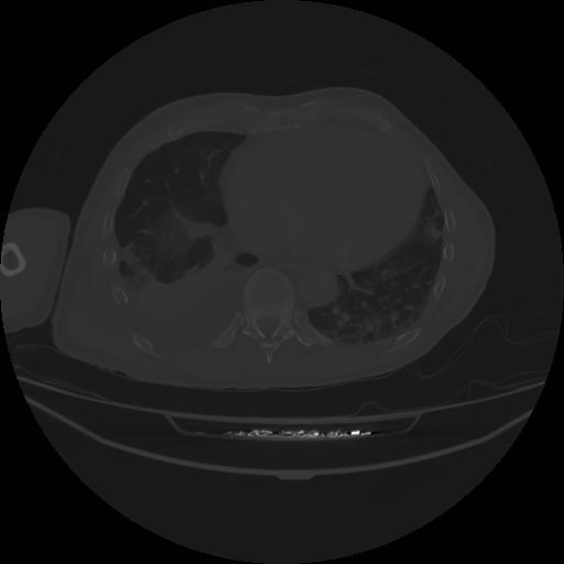
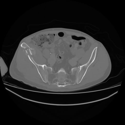
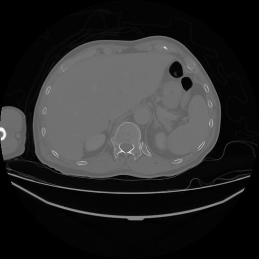
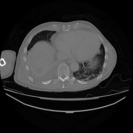
4 CUERPO,CE,Axial,3.0,CUERPO,,