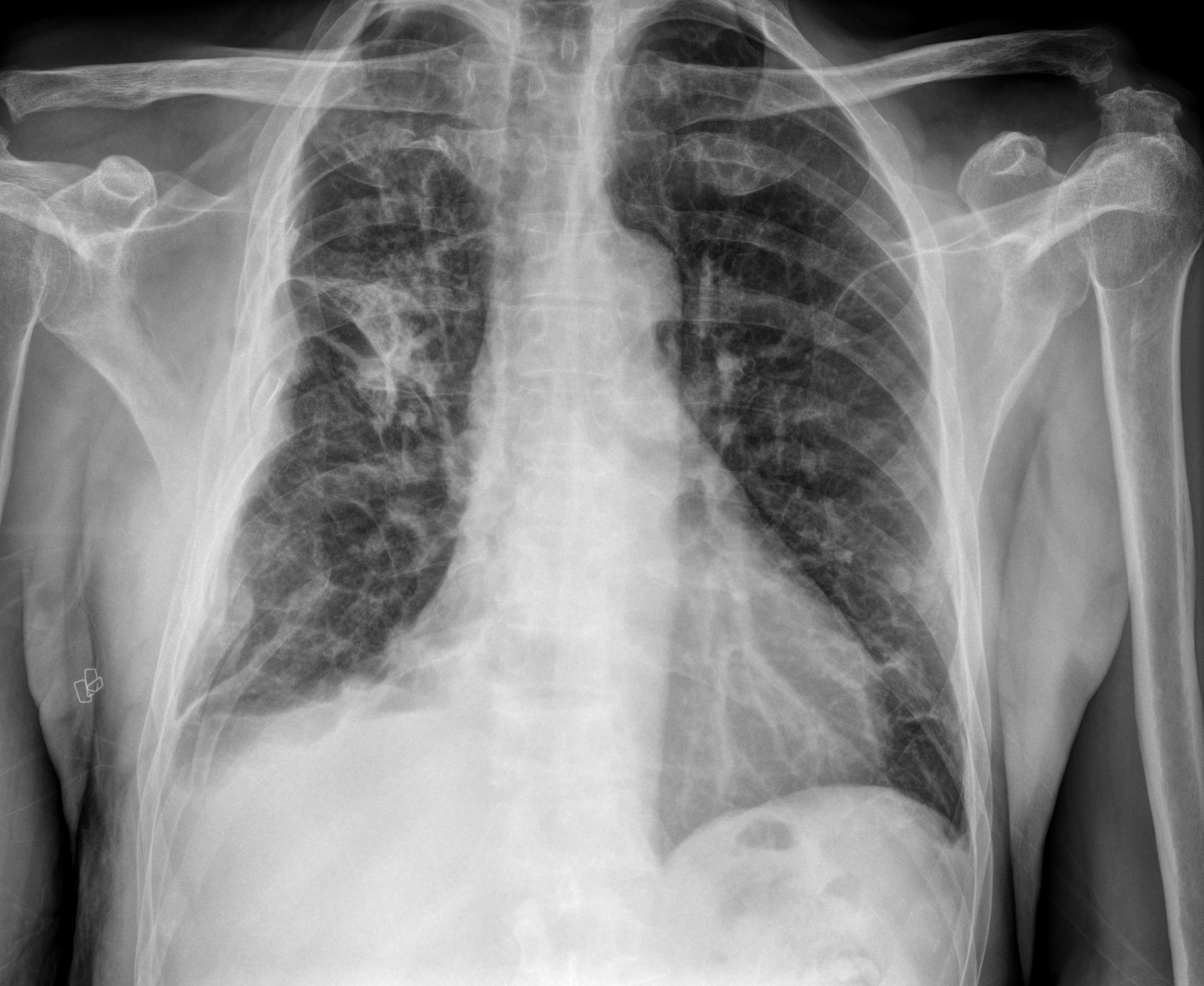
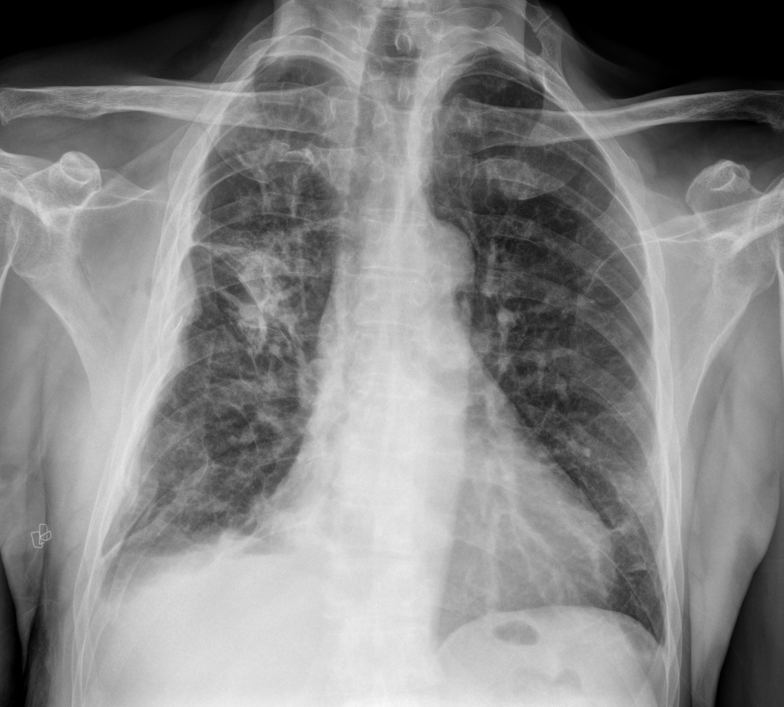
1 Tórax portátil