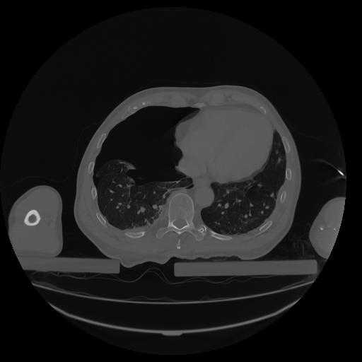
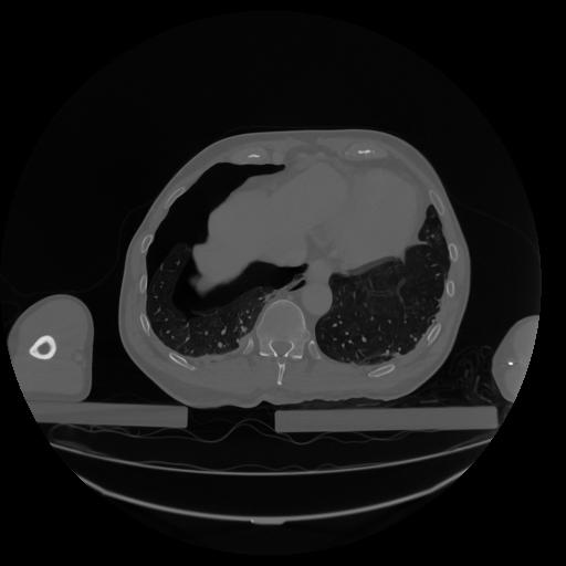
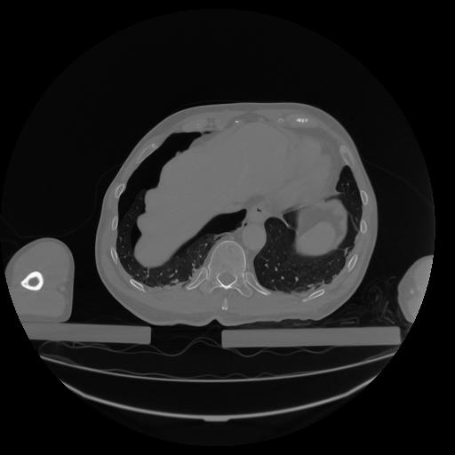
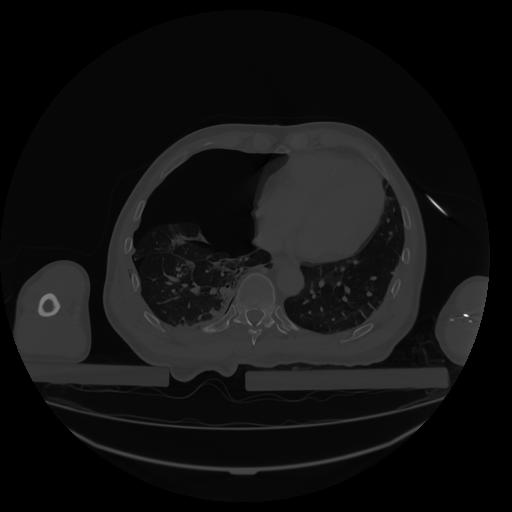
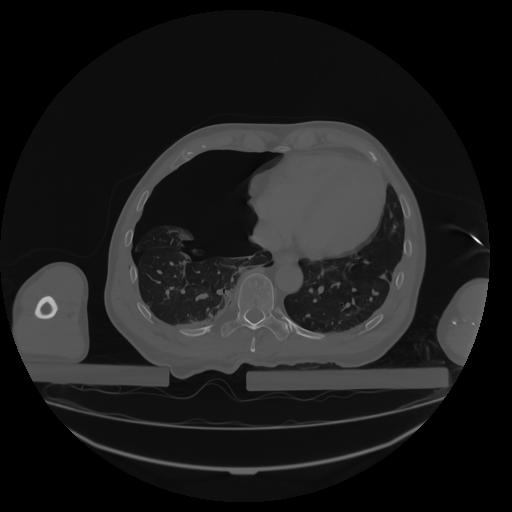
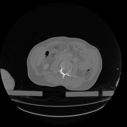
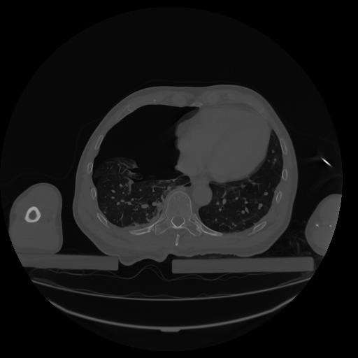
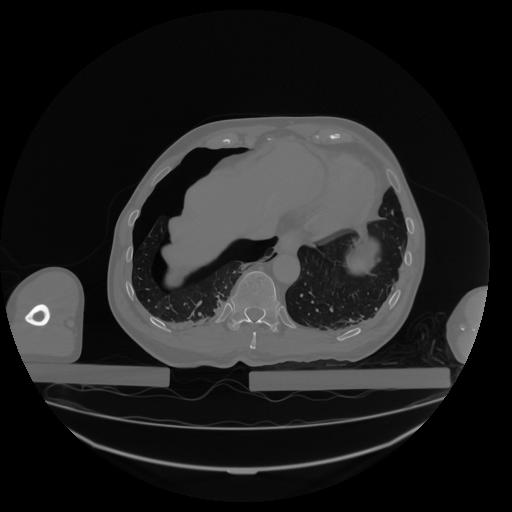
34 CUERPO,CE,Vol,1.0,CUERPO,,