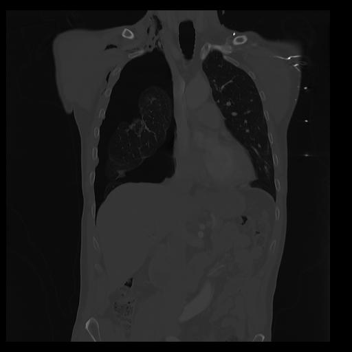
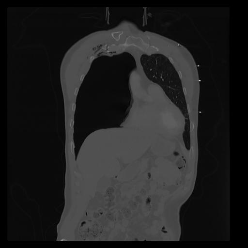
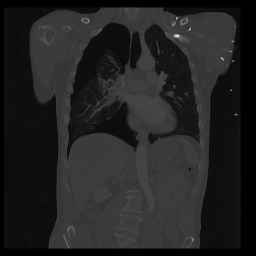
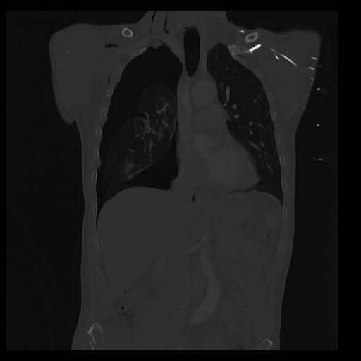
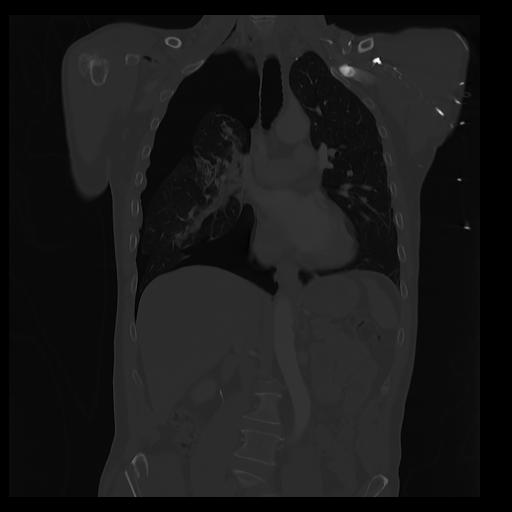
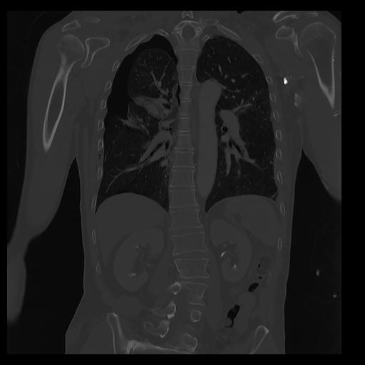
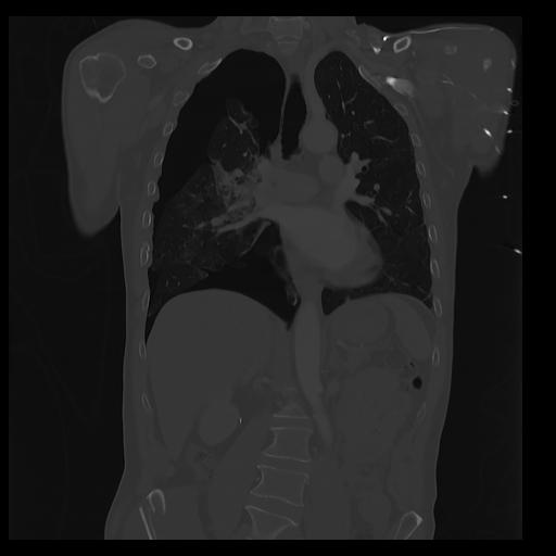
32 PULMON,CE,Coronal,3.000,PULMON,Coronal,