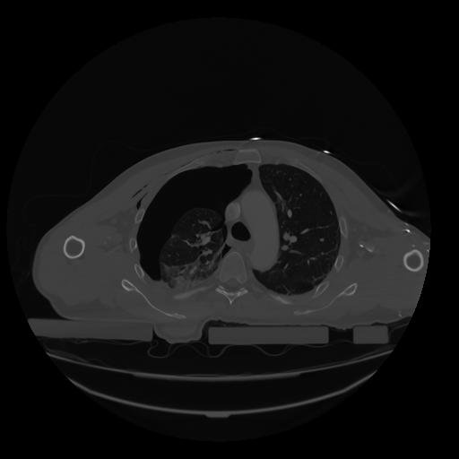
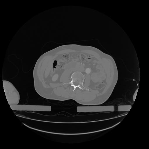
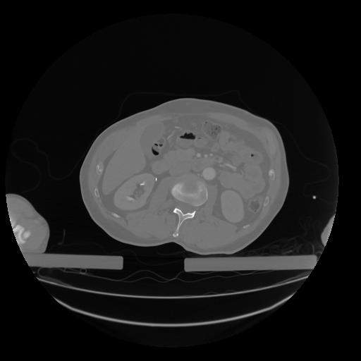
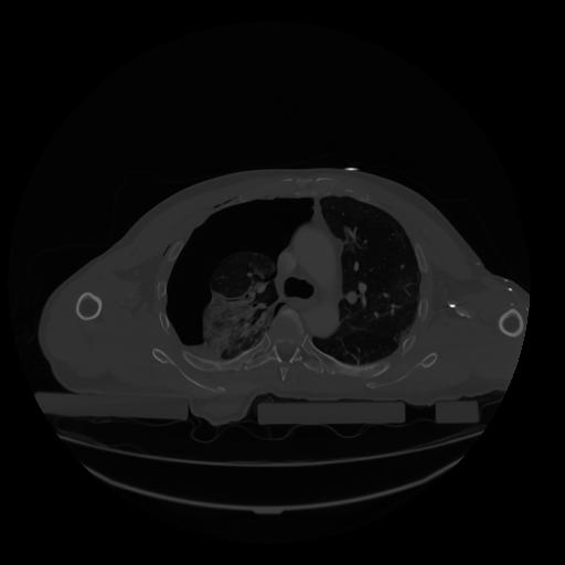
28 CUERPO,CE,Vol,2.0,CUERPO,,