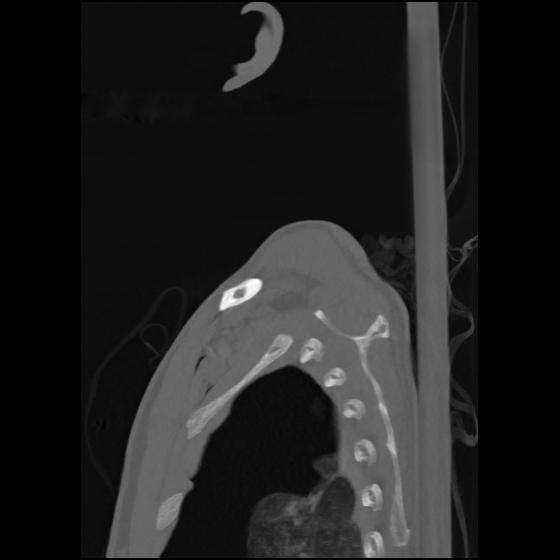
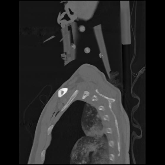
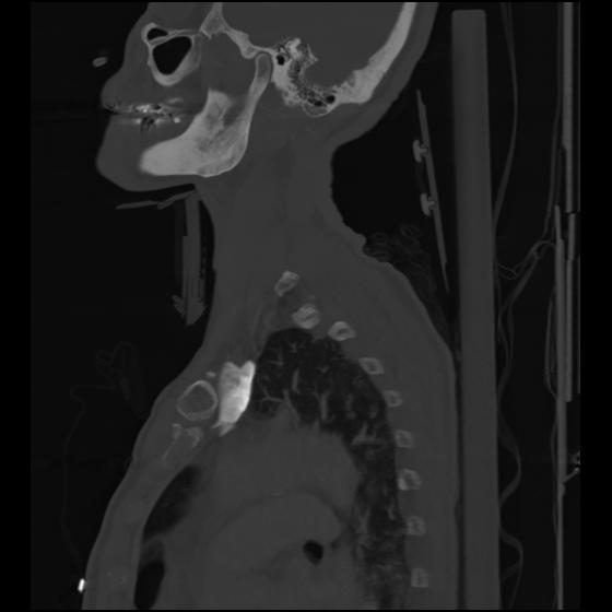
24 ANGIO,CE,Sag-MIP,5.000,ANGIO,Sag-MIP,