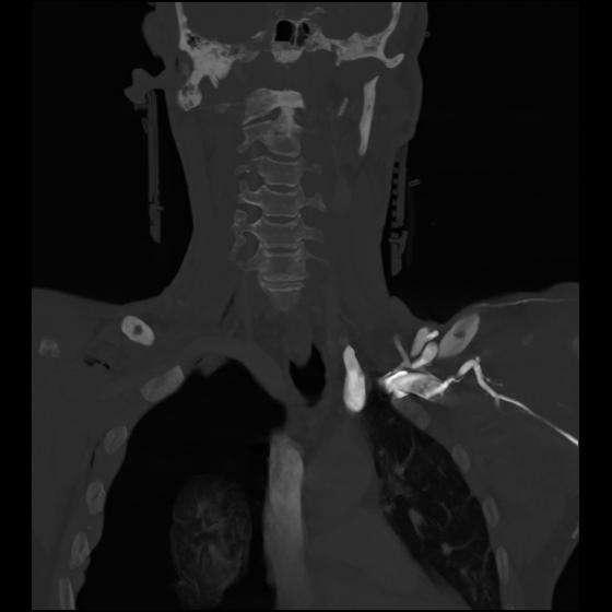
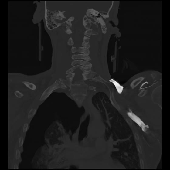
23 ANGIO,CE,Cor-MIP,5.000,ANGIO,Cor-MIP,