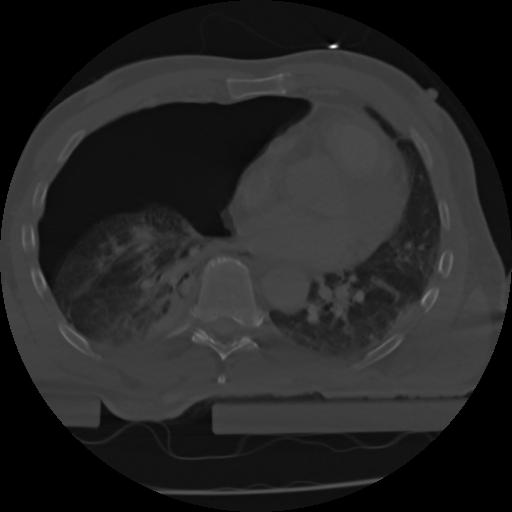
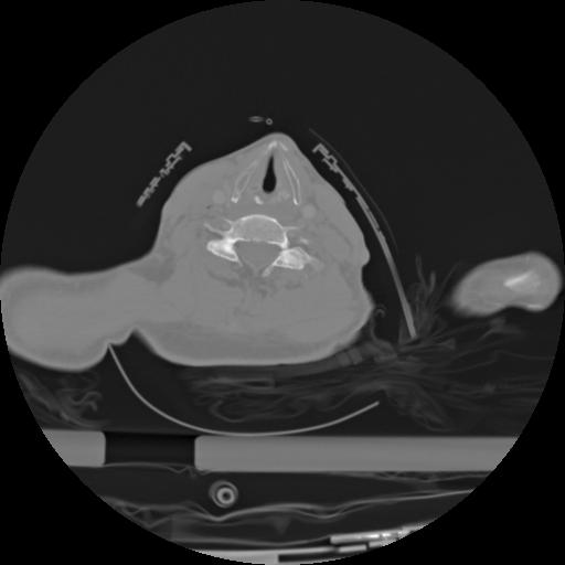
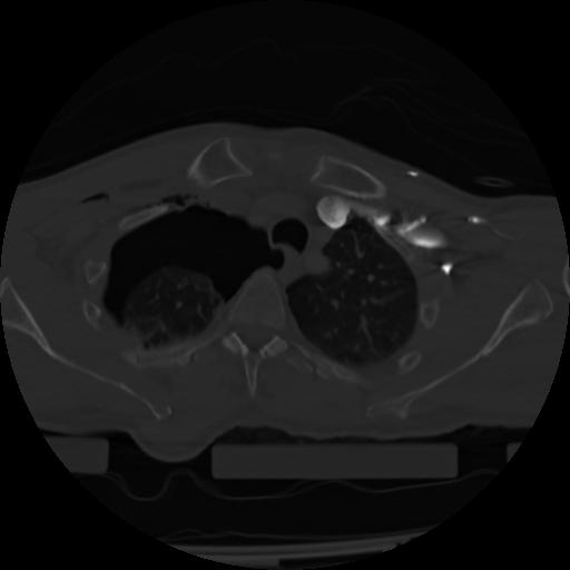
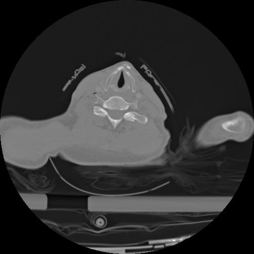
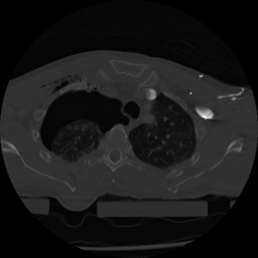
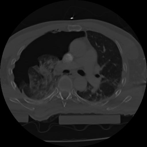
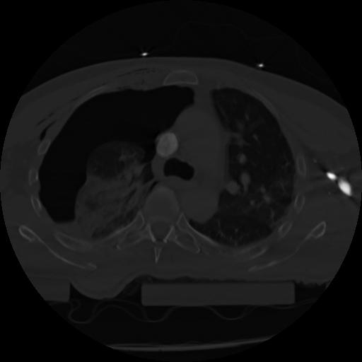
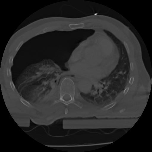
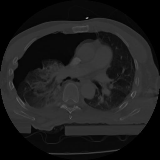
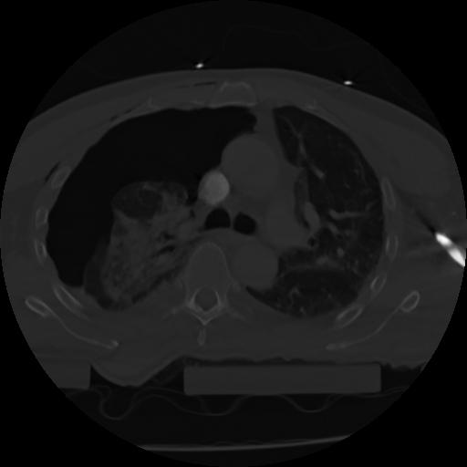
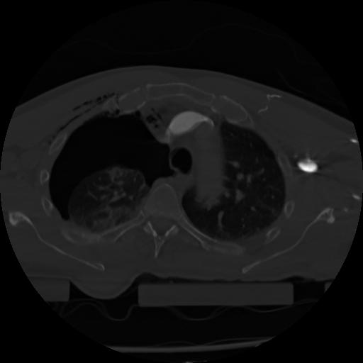
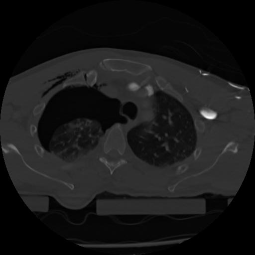
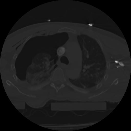
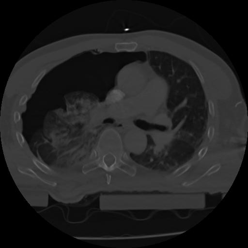
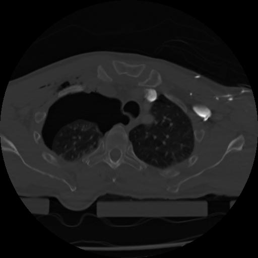
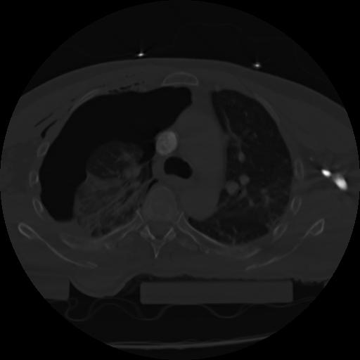
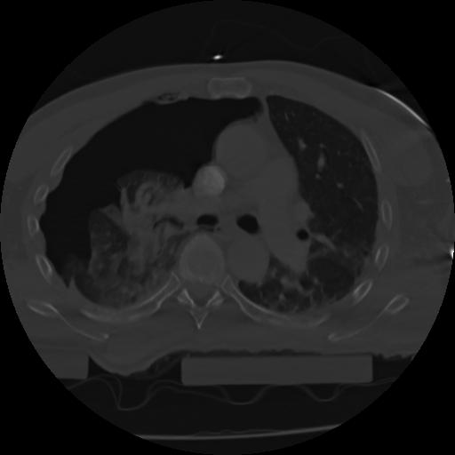
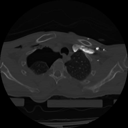
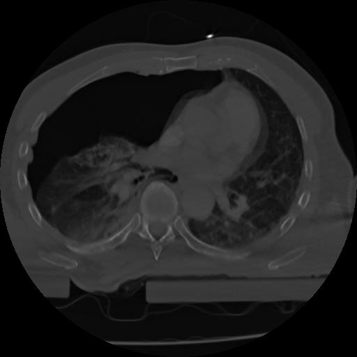
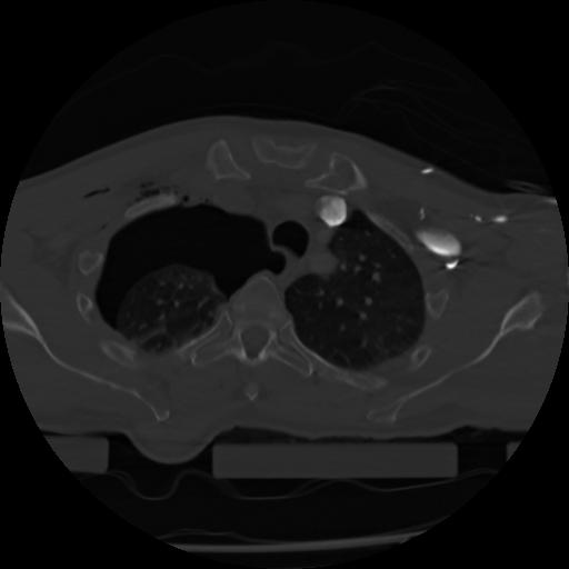
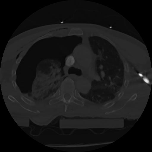
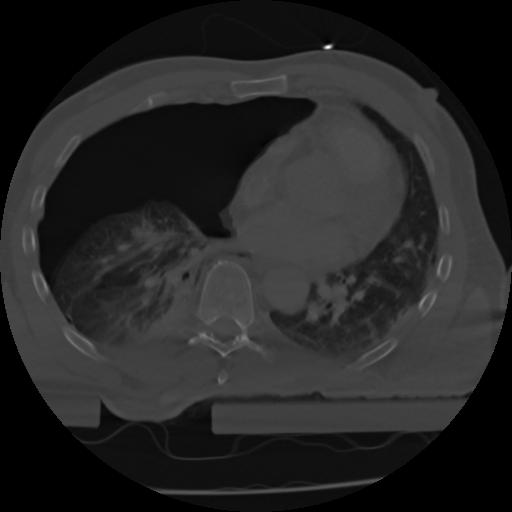
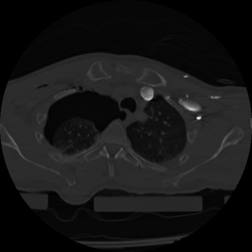
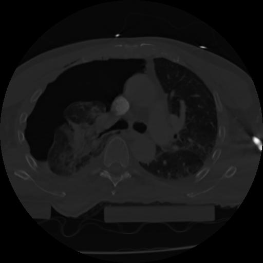
21 ANGIO,CE,Axial,3.0,ANGIO,,