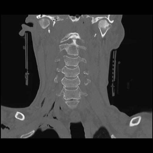
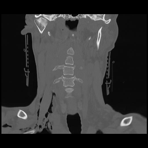
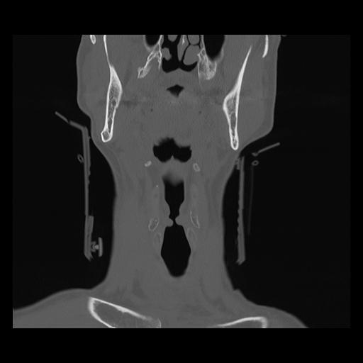
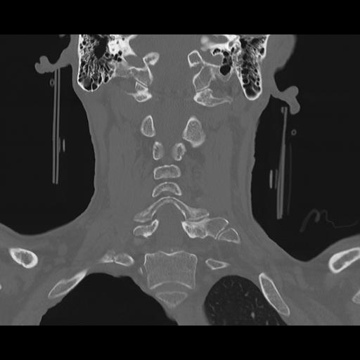
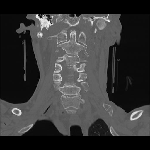
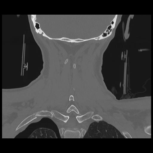
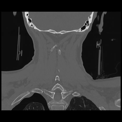
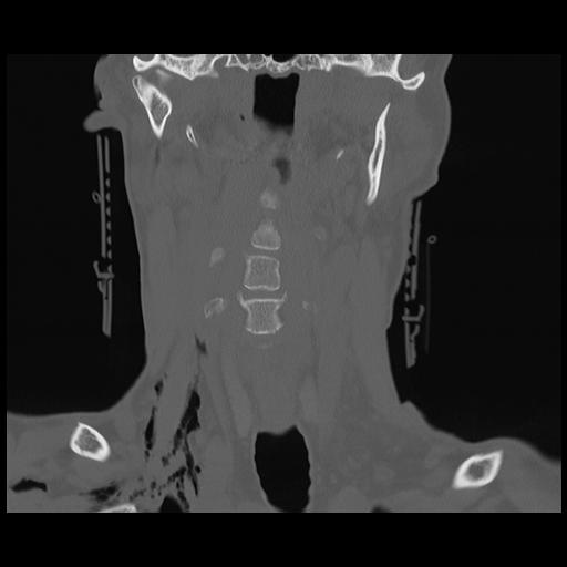
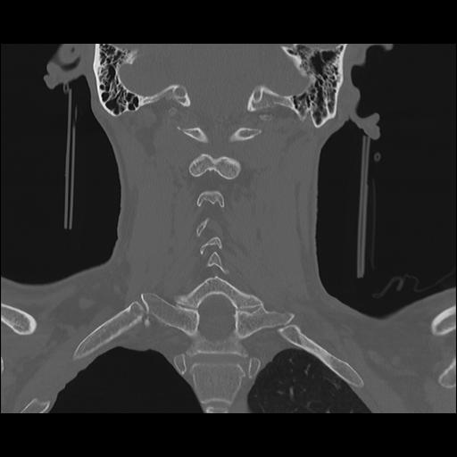
16 HUESO,,Coronal,2.000,HUESO,Coronal,