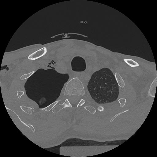
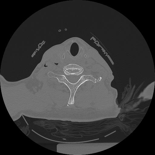
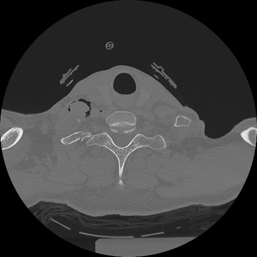
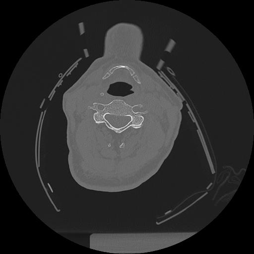
15 HUESO,,Vol,0.5,HUESO,,