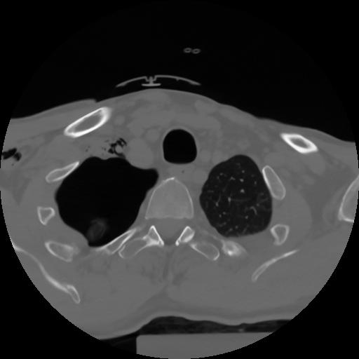
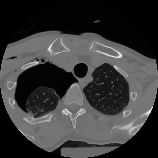
10 P.BLANDAS,,Axial,2.0,P.BLANDAS,,