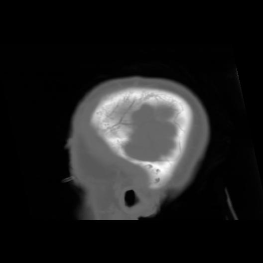
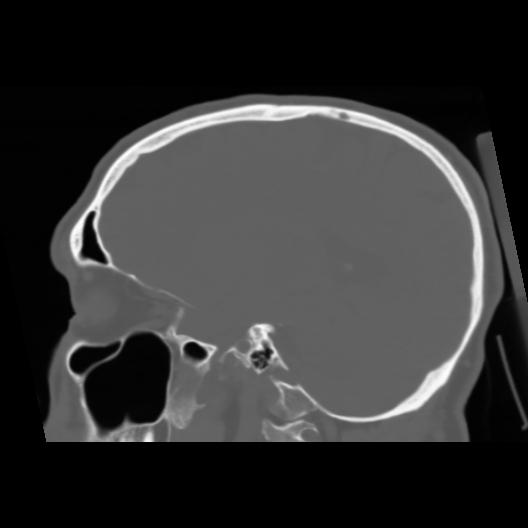
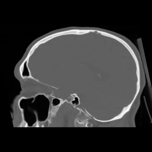
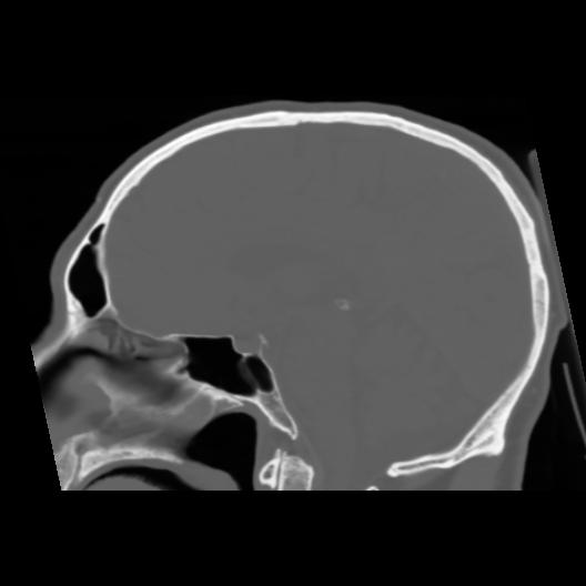
6 CEREBRO,,Sagittal,3.000,CEREBRO,Sagittal,