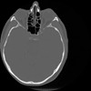
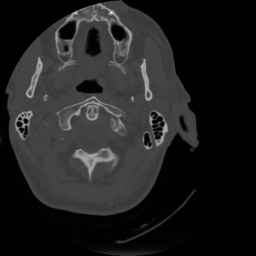
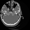
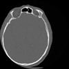
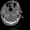
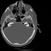
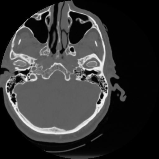
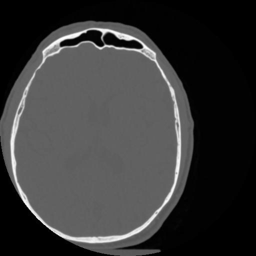
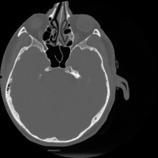
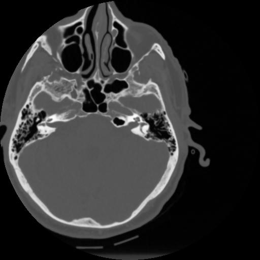
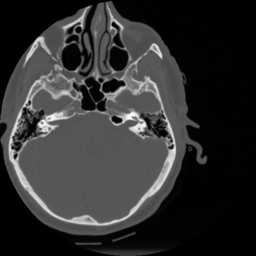
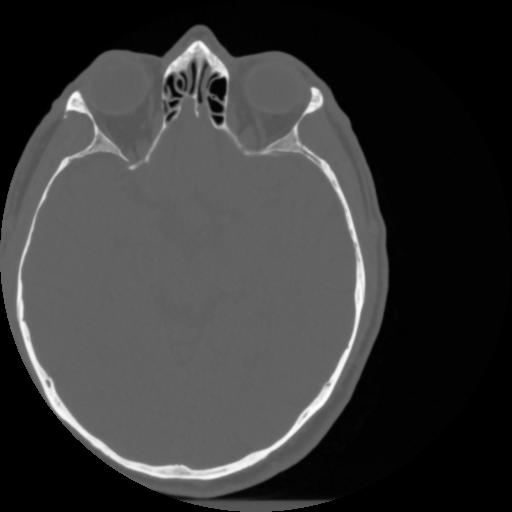
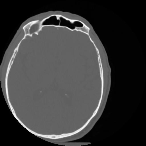
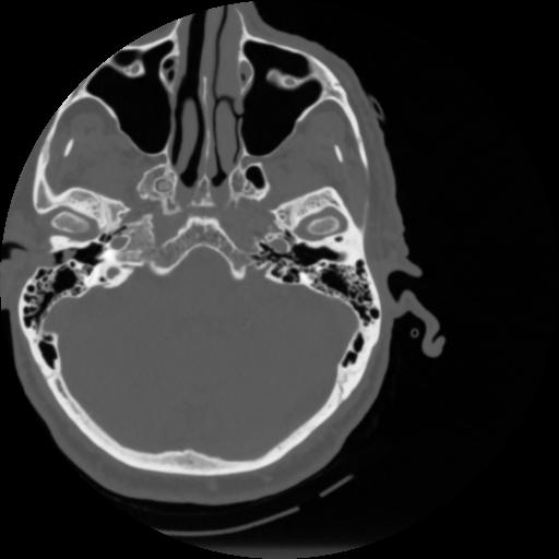
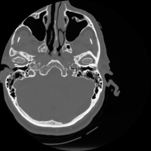
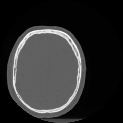
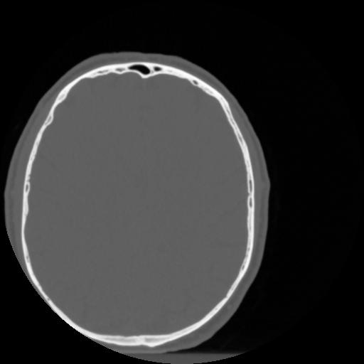
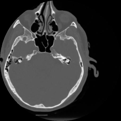
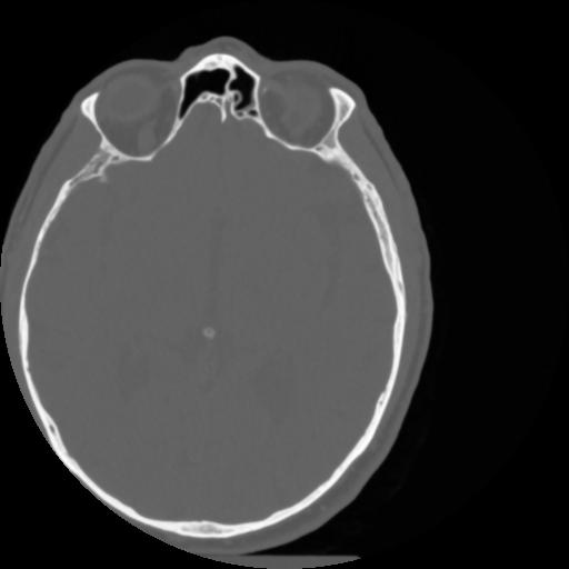
4 CEREBRO,,Vol,0.5,CEREBRO,,