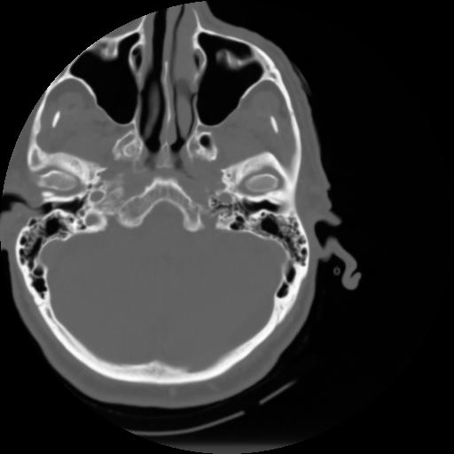
3 CEREBRO,,Axial,3.0,CEREBRO,,